Tooth Colored Fillings

 

Why do we need fillings?

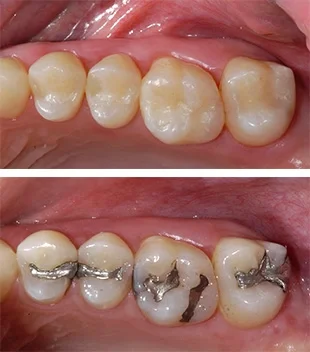
Dental fillings are used to restore small areas of damage in a tooth, most often caused by decay. By sealing the cavity, fillings help prevent further deterioration, restore the tooth’s function, and maintain its natural shape.

Safe & Seamless

Fillings protect teeth by sealing areas affected by decay, preventing it from spreading further. At Toner Family Dental, we offer bonded tooth-colored restorations that blend seamlessly with your natural teeth. These fillings not only preserve more healthy tooth structure but also reduce the risk of fractures compared to traditional materials. In some cases, they can even be used to reshape teeth or close small gaps between front teeth. Plus, our tooth-colored fillings are mercury-free, offering a safer and more aesthetic solution.